For those interested in a more permanent answer to missing teeth, Dr. Samadian offers dental implants in the San Francisco and East Bay area. Patients can utilize this procedure to replace missing teeth with perfectly mimetic implants handcrafted by a world-class ceramist, and once more enjoy a healthy, glowing smile.
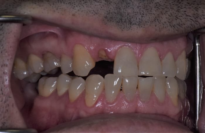
If you’re missing teeth, dental implants can restore your proper tooth alignment and allow you to reclaim your self-assurance while also helping you avoid frustrating dental complications in the future.
Dr. Amin Samadian, a dentist in San Francisco, and his team look not just at the teeth that need to be replaced but at the entire mouth when considering implants, including the bite, bone support, and gum coverage. With a proprietary blend of advanced dentistry and proactive solutions, Dr. Samadian can restore your bite with a set of custom-milled and perfectly integrated dental implants.






