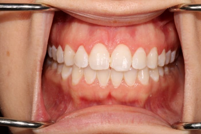
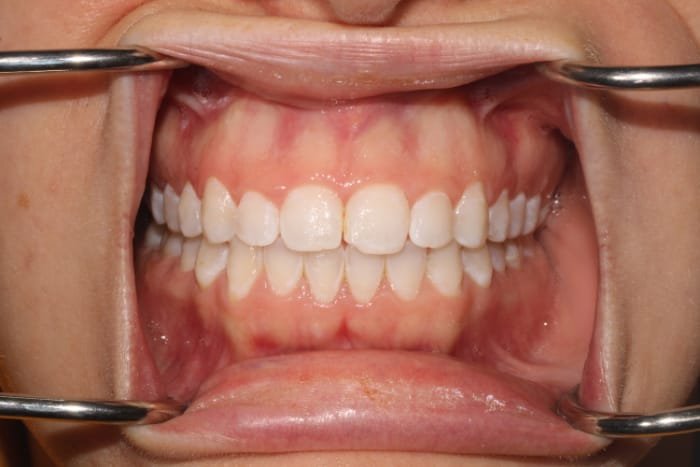
A so-called “gummy” smile occurs when an unnecessary amount of your gum tissue grows down and covers your teeth, becoming visible when you grin and creating an imbalance in your tooth-to-gum ratio. The result can stand in the way of your ideal smile, and Dr. Amin Samadian is here to help.
If you’re concerned with the amount of gum tissue that shows when you smile, laser gum contouring with Dr. Samadian, a top dentist in San Francisco, may be the answer you’re looking for. This surprisingly straightforward and painless treatment can balance out your gums, enhance your smile, and renew your confidence. If you’re in the San Francisco or East Bay areas, and you’re ready to learn more about what this periodontal treatment can do for you, reach out and set up your consultation today.



