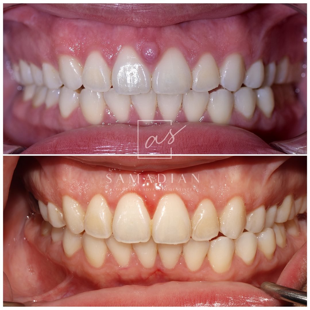
Patient 2
For this case, our patient had a noticeable fibroma on her gums, between her two front teeth as well as short teeth and a gummy smile. A fibroma is typically a benign fibroid or fibroid tumor that's composed of fibrous, or connective, tissue. We removed the fibroma with a laser then treated her gummy smile with Botox and her short teeth with a #GumLift. It takes an eye for detail and exceptional experience, like Dr. Samadian's, to perform such a flawless enhancement on our patient!
Individual results may vary.
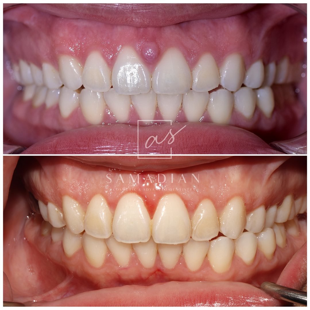
Patient 3
Excellent work by Dr. Samadian on our patient's soft tissue grafting procedure for gum recession. Our patient is three weeks post-op and her results look incredible and natural; a standard we uphold at our practice. Her smile looks beautiful before and after, but our patient had concerns with her gums receding, so we utilized the Vista gum lift technique to create a wonderful outcome! 👏 The #VistaGumLift generally involves removing soft tissue from the palate or cheek, or from a donor source, and stitching it in place over the exposed tooth root. This technique requires a small incision and little suturing to lift the gums and place them into the correct position.
Notice the overcorrection in the front teeth and the change in the tissue color and texture. The overcorrection will settle back to the original place over a six-month period. This procedure will not only undo the gum recession but also will give the patient thick gum tissue forever, called a phenotype modification, which genetically alters the gum tissue. Our patient is also receiving clear aligners for her open bite. These aligners will also prevent further gum recession. 🦷
Individual results may vary.
