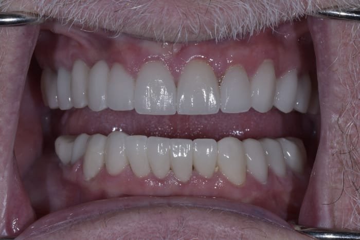
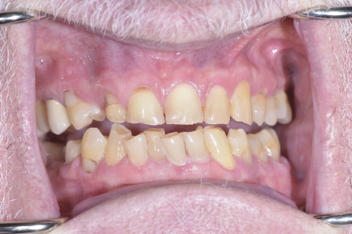
You deserve to show off a smile that communicates a sense of beauty and refinement to the world. Dr. Amin Samadian's mastery of cosmetic dentistry and extensive experience allows him to create unmatched results for both international and local patients alike with his proprietary Smile Makeover procedure in San Francisco.
Dr. Amin Samadian ceaselessly pushes the cutting edge of advanced dentistry, and with the comprehensive Smile Makeover treatment, his team can offer patients in the San Francisco and East Bay areas unmatched levels of oral rejuvenation. You'll enjoy an impressive degree of participation as you work with Dr. Samadian to design a bespoke smile makeover that is custom-tailored to your lifestyle and goals, and works to seamlessly enhance your overall sense of facial harmony.






