- Smile Makeover
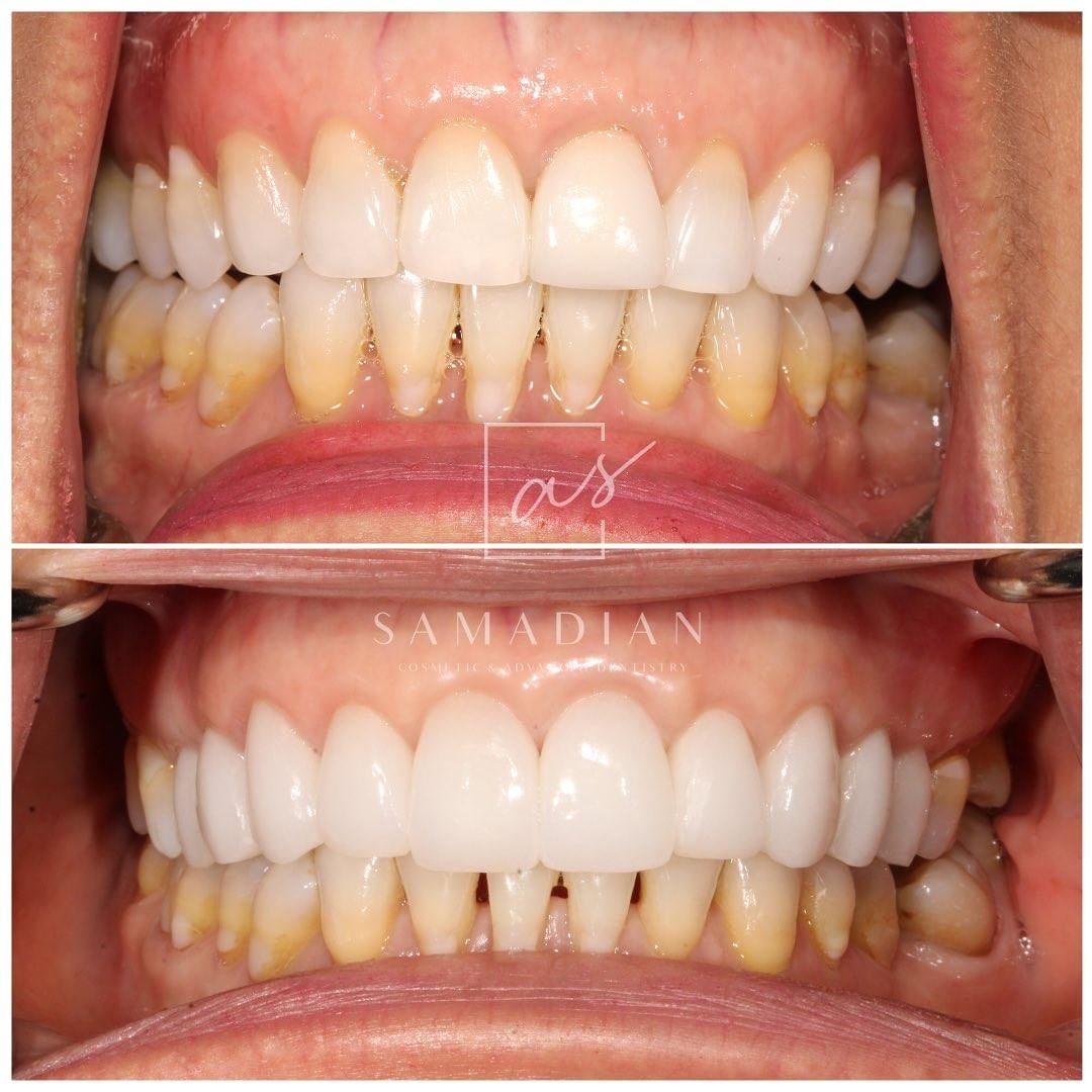
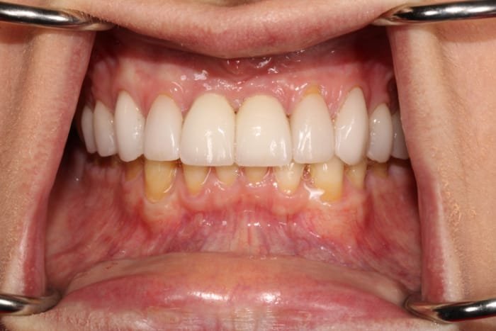
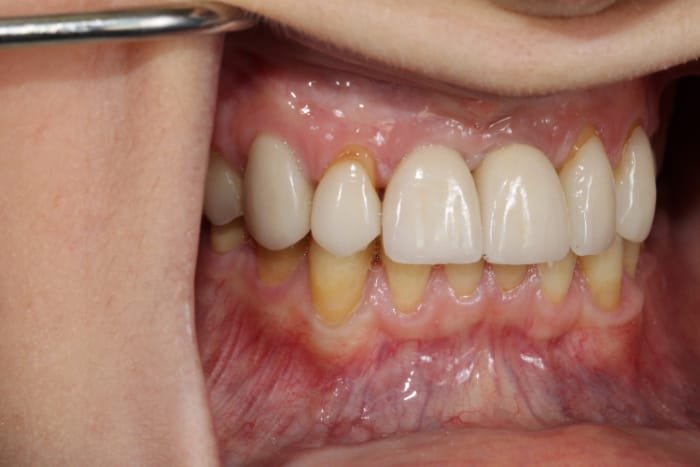
Patient 1
What an incredible transformation! ✨ This photo was taken immediately after the patient's veneers were delivered. For this Smile Makeover, Dr. Samadian gave her ten #PorcelainVeneers to help open up her side smile and improved her symmetrical appearance with a few subtle changes.
Individual results may vary.
Patient 2
Using porcelain veneers, Dr. Samadian was able to help his patient achieve a brighter and fuller smile. This outcome was carefully designed to meet her individual desires for her #smilemakeover, resulting in a happier and more confident smile!
Individual results may vary.
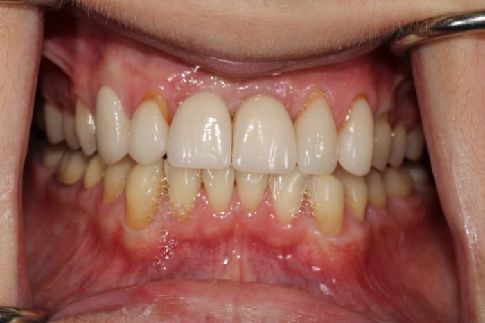
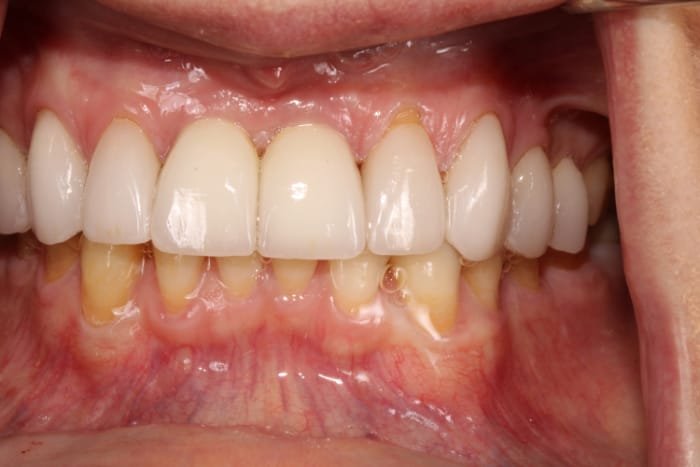
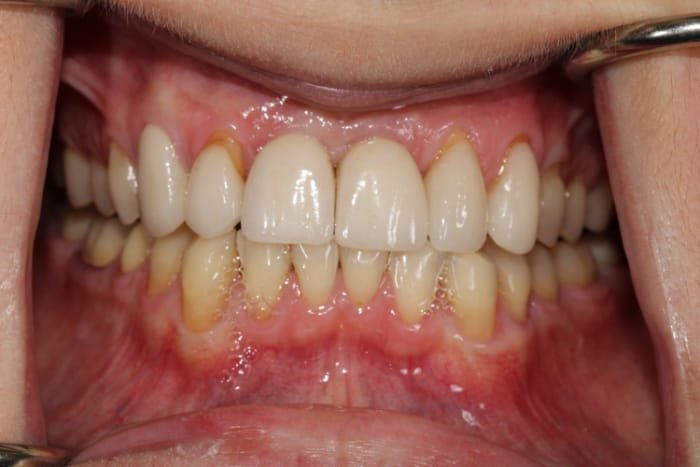
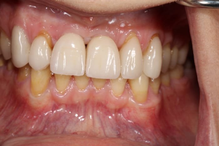
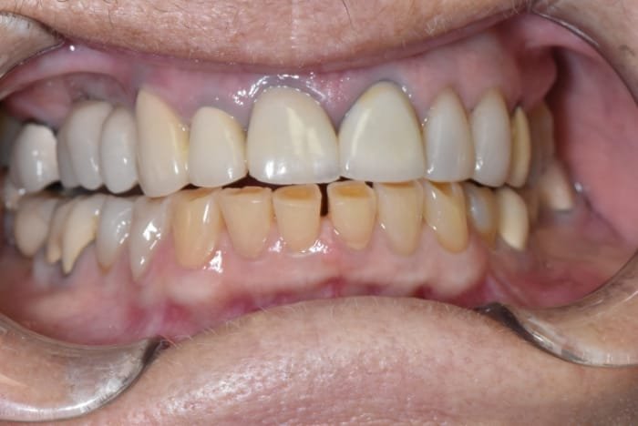
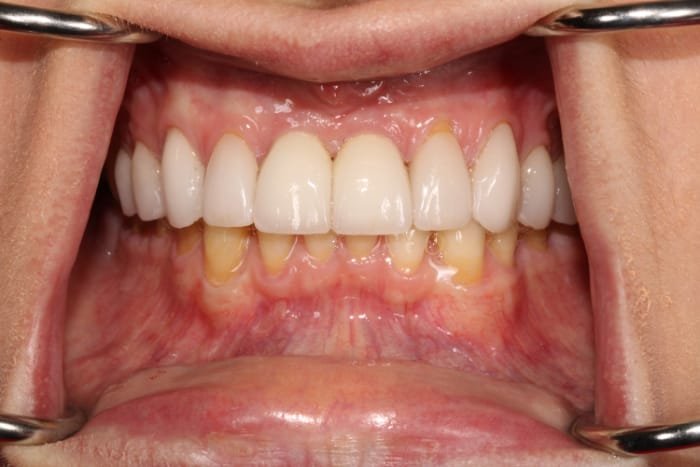
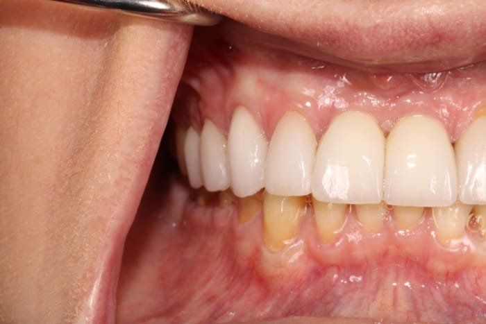
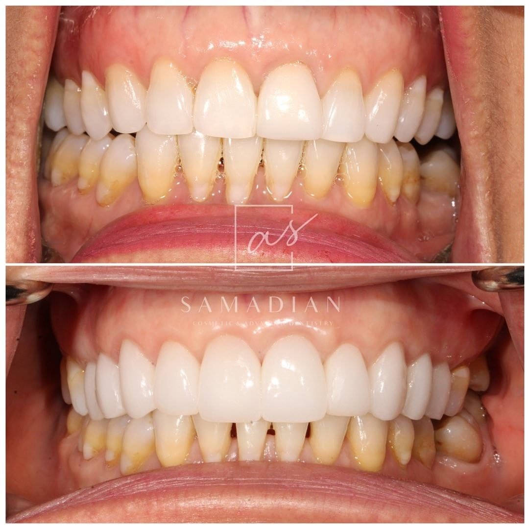
Patient 3
A beautiful #smilemakeover by Dr. Samadian and his team. This is the power of four temporary veneers after the patient's side smile (buccal corridor) was expanded and corrected with Invisalign. ✨ As this photo was taken immediately after the visit you can see where the gum tissue is still healing.
Individual results may vary.
Patient 4
Each smile makeover is uniquely designed to fit our patients' individual preferences. This patient specifically wanted a "bunny smile", created by making her central teeth much taller than the laterals.
Individual results may vary.
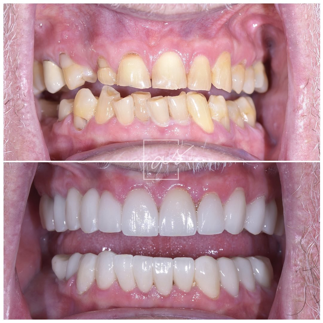
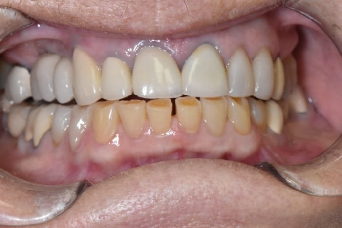
Patient 5
A smile makeover, such as this one, can act as an age-reversal of 15-20 years! This patient finished Invisalign treatments, but was still left with visible damage created by grinding and clenching habits as well as gum recession. Dr. Samadian went on to enhance his teeth with porcelain veneers, restoring function and aesthetics! ✨
Individual results may vary.
Patient 6
Check out this beautiful transformation! 😍 For this patient's Smile Makeover, she got #PorcelainVeneers, a laser gum lift, and Botox treatment for gummy smile correction.
A Smile Makeover is not one single procedure, but a customized series of cosmetic and restorative treatments that will repair your teeth, correct your bite, and generally enhance your overall sense of oral health. 🙌
Individual results may vary.
Patient 7
Our #SmileMakeover patient traveled all the way from Oregon to see Dr. Samadian for hand-crafted, ceramic veneers carefully designed to fit her personality! We also laser-corrected her gum-line. Her “after” photos were taken immediately following insertion of custom veneers, and we think she looks youthful and radiant ✨⠀
Individual results may vary.
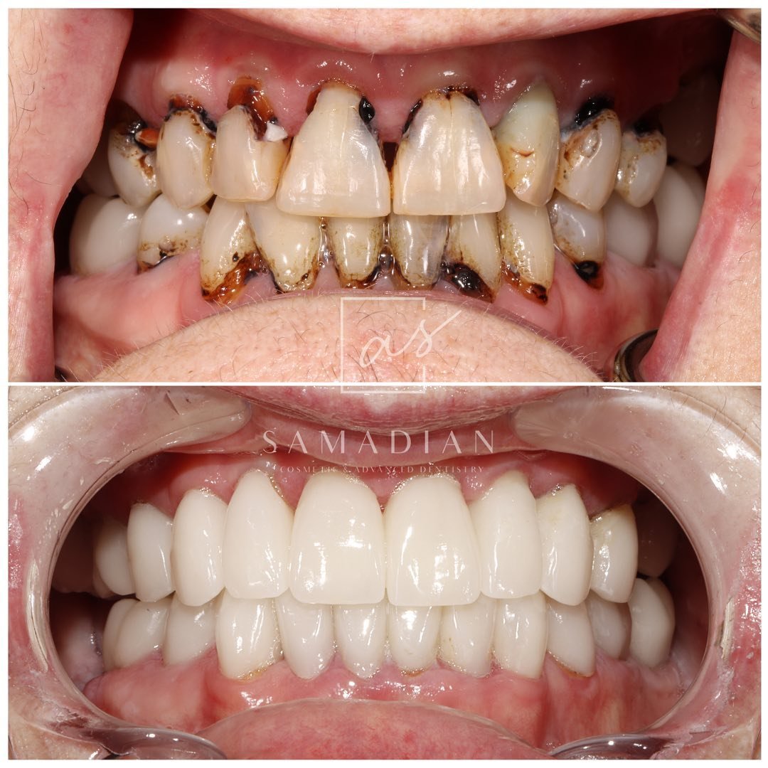
Patient 8
This is a perfect example of why it is imperative to seek a dentist who is not only an expert in the field of cosmetic dentistry but is also able to source the cause of the deterioration and tooth decay in the first place.
Dr. Samadian found that this patient was suffering from cancer and dry mouth. After treating these medical conditions, he was then able to transform their smile into a bright and beautiful set of pearly whites. ✨
Individual results may vary.
Patient 9
Our patient's smile says it all! He is simply shining two years after undergoing a #SmileMakeover 🤩 We only work with master ceramists to bring your vision of a perfect smile to life, using #PorcelainVeneers. Now our patient has a healthy bite, and beautiful, white teeth to match!
Individual results may vary.
Patient 10
Our patient's #SmileMakeover results have him glowing with a thousand-watt grin. This customized procedure is tailored to your specific needs, replacing broken or missing teeth, straightening out imperfections, and generally correcting your mouth’s cosmetic appearance.
Individual results may vary.
