Cover your dental imperfections

Not only can they enhance and improve the shape of your teeth, but they can also produce an overall whiter and brighter smile. Dr. Amin Samadian, a leading dentist in San Francisco, and his team provide paper-thin, no-prep veneers that offer tons of benefits to conventional veneers.

smiling woman with long brown hair and black top posing for a picture

What are no-prep veneers?

No-prep veneers are comparable to regular porcelain veneers in that they are installed over your natural teeth to cover any undesired aesthetic concerns. However, unlike porcelain veneers, no-prep veneers are super thin and can bond to your teeth without any preparation (without drilling or touching your teeth). 

What this means for you is if you ever choose to remove the veneers, your teeth will appear exactly as they did before they were placed.

smiling woman with long brown hair and black top posing for a picture

"Dr. Samadian is the best dentist I've ever had! Not only does he take his time to explain exactly whats going on but, he works quickly and efficiently."

Types of No-Prep Veneers 

There are different types of no-prep veneers. Lumineers, Vivaneers, and Durathin Veneers are the most well-known. Dr. Samadain uses only the top-level, highest-quality veneers, based on the exact thickness and material that is best for your teeth and mouth.

Dr. Samadain chooses the best veneers for you and custom produces these in his in-house digital lab.

Teeth Evaluation 

Your teeth will be photographed and evaluated by Dr. Samadian. He will examine the state of your teeth, looking for chips, uneven lines, and discoloration. He will check your bite and even your speaking ability, taking everything possible into account before moving forward with a plan. This helps him determine the best veneers for your teeth and chart a route to give you the ideal smile and teeth you want.

Mockup Design 

Before your veneers and new smile are created, a mockup will be designed. The type, color, and design of the veneers will be created and precisely produced between Dr. Samadian and his expert, highly sought-after master ceramist. Dr. Samadian and his team use multiple layers of color, ensuring the perfect, natural shade of white for your veneers.

Your Perfect, Custom-Made Smile 

Dr. Samadian offers the highest quality, unparalleled level of customization for your perfect smile. He and his expert team provide unmatched results.

Once the preparation is complete, you will wear a temporary smile over your teeth for about a month. During this time, the final veneers are created. These veneers are handcrafted by one of the most accomplished ceramists in the world. His expertise ensures that the veneers will integrate perfectly and seamlessly with the rest of your teeth and smile.

Reasons for no-prep veneers

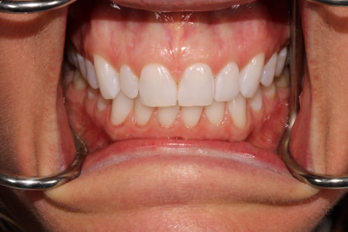
If your teeth have any gaps, chips, stains, or discolorations, you may be a good candidate for porcelain no-prep veneers, a highly effective and minimally-invasive cosmetic procedure that can achieve beautiful results.

In the event you have more significant cosmetic concerns like missing or extremely crooked teeth, another approach such as implants, crowns, or Invisalign may make more sense.

Schedule a consultation | Samadian Cosmetic & Advanced Dentistry

Schedule a Consultation

Take the first step to a healthier smile by scheduling an appointment with Dr. Amin Samadian and his highly trained staff at his San Francisco office.

Our office located in San Francisco can complete most services in a single day using our in-house lab, and we offer zero & low-interest financing options for all treatments. Schedule an appointment today using the form below.

Contact Us

Integrated Art, Science, and Technology

bridge

Our Concierge and Fly-In Services

Dr. Samadian with patient

Welcome to Our Office

No-Prep Veneers Video

What do no-prep veneers involve?

Just like conventional veneers, no-prep veneers are directly bonded to the surface of your teeth to change their size, shape, and/or color. Since they are only the width of a contact lens, however, Dr. Amin Samadian won’t have to remove very much enamel. In some instances, he won’t have to remove any enamel at all.

You will work with Dr. Samadian to plan, fit and place your veneers. Dr. Samadian will make impressions of your teeth and mouth. At his in house digital lab, Dr. Samadian and his San Francisco team are able to produce your veneers the very same day

Also using his exceptional technology, Dr. Samadian’s team can do a detailed, lifelike smile mock-up for you so you can see how your smile will look after getting the veneers before even committing to the procedure.

The next step is placing the veneers. Dr. Samadian will slip the veneer over the surface of your teeth and bond it into place with special dental adhesives. Dr. Samadian will check the fit and feel of these for you, including your bite. This is done to ensure there are no problems and that the veneers are a perfect, exact fit. If needed, Dr. Samadian will make last-minute adjustments for comfort to ensure the veneers are just right.

Samadian Cosmetic & Advanced Dentistry

Cleaning and Caring for Veneers 

See Dr. Samadian regularly for check-ups and cleanings. During a cleaning, he will polish the veneers and will help keep them as bright and white as they are the day you received them. He can also advise you about special products to use when brushing and flossing your veneers.

For care at home, you can treat porcelain veneers in the same way you treat your normal teeth. Brush twice a day and floss once a day. Eat and drink as you normally would, but avoid biting or chewing hard items (ice, nut shells, bones or hard candy). 

Are no-prep veneers painful?

Because little to no enamel is removed from the teeth, no-prep veneers are completely painless.

What results will I see?

No-prep veneers can enhance the color, shape, symmetry, and overall look of your smile. Since they are so light, you don’t have to worry about them appearing or feeling bulky.

© Samadian Cosmetic & Advanced Dentistry. All Rights Reserved. Web Design by Studio 3®

Treating patients throughout San Francisco & East Bay. Dr. Samadian specializes in treatments such as smile makeovers, porcelain veneers, digital reconstructions, aesthetic dentistry, and dental implants. Focusing on regeneration and restoring tooth structure, bone loss, and gum recession utilizing the latest LANAP laser technology.

Contact Us