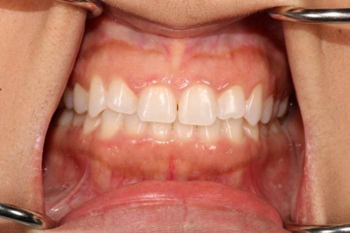
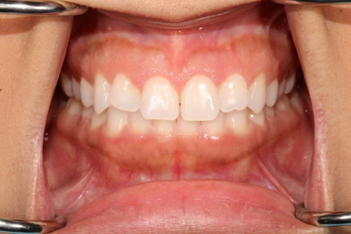
If gum recession is making you feel self-conscious about your smile, pinhole gum lifting in San Francisco may be the solution for you. Dr. Samadian and his team can utilize the pinhole surgical technique to restore your healthy gums, and your overall sense of oral well-being in the process.
Gum recession is a well-known dental concern that can cause cosmetic issues and may potentially even lead to future dental problems if left untreated. If you’re looking for a solution to gum recession that doesn’t involve surgery or comes with any kind of significant downtime, pinhole gum lifting is an excellent choice.
Dr. Amin Samadian and his team perform pinhole gum lifting for patients in the San Francisco and East Bay areas who are interested in comfortably tackling gum recession and maintaining their lifelong dental health. They've remained on the leading edge of comprehensive dentistry for years now and are excited to learn how they can help you enjoy a complete sense of oral health.



